RMF24
ZdrowiePL2 dni temu
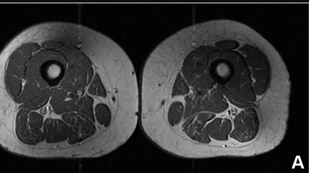
Przetworzona żywność wpływa na wygląd mięśni i tkanki tłuszczowej

Podsumowanie AI
Artykuł ostrzega przed skutkami spożywania wysokoprzetworzonej żywności, wskazując, że może to prowadzić do odkładania się tłuszczu w mięśniach, co zmienia wygląd ciała. Wzmianka o udach jako przykładzie efektów diety. Informacja oparta na analizach zdrowotnych.
Dieta bogata w wysokoprzetworzone produkty powoduje odkładanie się w mięśniach tłuszczu do tego stopnia, że ludzkie uda zaczynają wyglądać ...
~1 min czytania
Domena: rmf24.pl
Clickbait:
0

